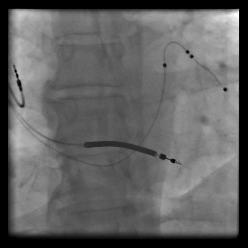
İleri Kalp yetersizliği olan hastalarda “VF” denen öldürücü ritm bozukluğu ve ciddi nefes darlığı meydana gelmektedir. Bu hastaların bir kısminde kalbin kan pompalayan odacığında (sol ventrikül) duvarların kasılması asenkron (aynı anda karşılıklı kasılmama hali) hal alır. Bu kendini hem artan nefes darlığıyla hem de EKG’de QRS dalgasının genişlemesi ile gösterir. Bu tür hastalara implante edilen (takılan) çift odacıklı (hem sağ kalp hem de sol kalbe) pil (CRT) hem ölümcül seyreden bu ritmi normal ritme çevirmekte hem de hastanın nefes darlığını kalp fonksiyonlarını iyileştirerek düzeltebilmektedir.

Anjiografi laboratuvarında lokal anestezi altında yapılan bir işlemdir; ICD’den farklı olarak, sol kalbi senkron uyarabilmek için koroner sinüs içine de elektrot kateter yerleştirilir.