
Atriyalfibrilasyon (AF) en sık karşımıza çıkan bir ritm bozukluğudur; düzensiz atım ve çarpıntı şeklinde ortaya çıkar. Tedavi edilmediğinde tromboembolik komplikasyonlara (inme, felç) yol açar. Bu ritm bozukluğunun müzminleşmesine (kronikleşmesine) müsaade etmemek gerekir, çünkü kronikleştiğinde normal ritm artık oluşmayacak, bu ritm (AF) ile birlikte yaşanmak zorunda kalınacaktır. Oysa AF henüz başlangıç (paroksismal) aşamasında yakalanırsa CRYO AF ablasyonu ile normal ritm sağlanabilecek ve tam şifa elde edilebilecektir.
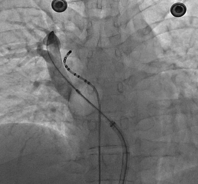
CRYO AF ablasyonu1.5 saat kadar süren, lokal anestezi altında uyutmadan yapılan ağrısız bir işlemdir. Kalbin sol kulakçığına açılan akciğer venlerinin (4 adet) giriş yerinde dondurma (-50-60 dereceye kadar soğutularak..) işlemi yapılarak gerçekleştirilir.
Uzmanlaştığım Alanlar
- Koroner Anjiografi ve Balon/Stent İşlemi
- Kronik Tam Tıkalı Kalp Damarında Balon/Stent İşlemi
- Ana Dal ile Birlikte Yan Dal(lar)ı da Tutan Çatal Lezyonlarda (daralma) Balon/Stent İşlemi
- Periferik (kol, ayak) Damarlarda Balon/Stent İşlemi
- Mitral Kapak Darlıklarında Balon Tedavisi
- Aort Damar Hastalıklarında Endovasküler (stentleme) Tedavisi (EVAR)
- Çarpıntı Tedavisi- RF (Isıtarak) Ablasyon
- Çarpıntı Tedavisi-CRYO (dondurarak) AF Ablasyonu
- Öldürücü Ritmi Önleyen Pil (ICD)
- Öldürücü Ritmi Önleyen ve Kalp Fonksiyonlarını İyileştiren Çift Odacıklı Pil Tedavisi (CRT)