
Açılmayan damar yoktur fakat açılması fayda sağlayacak vakalarda…
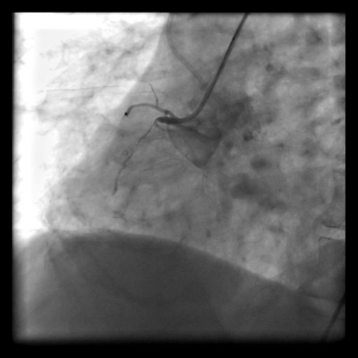
Koroner arterin %100 (tam) kronik olarak tıkalı olduğu (CTO) vakalarda damarın açılması çok zor iken, gelişen kılavuz tel teknolojisi ile oldukça kolaylaşmıştır. Bu gün itibariyle başarı oranı %70 civarındadır ve her damarı tam tıkalı olanda değil, açma işleminin faydalı olacağı (!) grupta bu işlem planlanmalıdır.
Uzmanlaştığım Alanlar
- Koroner Anjiografi ve Balon/Stent İşlemi
- Kronik Tam Tıkalı Kalp Damarında Balon/Stent İşlemi
- Ana Dal ile Birlikte Yan Dal(lar)ı da Tutan Çatal Lezyonlarda (daralma) Balon/Stent İşlemi
- Periferik (kol, ayak) Damarlarda Balon/Stent İşlemi
- Mitral Kapak Darlıklarında Balon Tedavisi
- Aort Damar Hastalıklarında Endovasküler (stentleme) Tedavisi (EVAR)
- Çarpıntı Tedavisi- RF (Isıtarak) Ablasyon
- Çarpıntı Tedavisi-CRYO (dondurarak) AF Ablasyonu
- Öldürücü Ritmi Önleyen Pil (ICD)
- Öldürücü Ritmi Önleyen ve Kalp Fonksiyonlarını İyileştiren Çift Odacıklı Pil Tedavisi (CRT)