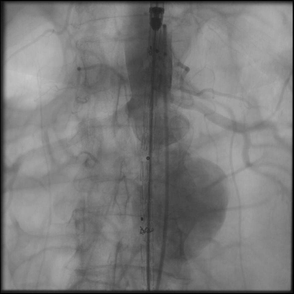
Abdominal (karın) Aort Anevrizmaları (karın içinde seyreden “şah damarının” balonlaşarak genişlemesi) yırtılarak ani ölüme yol açabilen istenmeyen bir durumdur. Sıklıkla ilerleyen yaşlarda batın USG’si yapılırken tesadüfen saptanan, şikâyete yol açmayan bir durumdur. Balonlaşmış bölge,ameliyatın kontrendike (yapılması için engellerin) olduğu durumlarda, anjiografik yöntemle kasık damarından girilerek stentlenir (EVAR); böylece ameliyatsız tedavi edilir.